Sakari und Anuka
Vaeroy
Sakari und Finn1

___________________________________________________________________________________________________________

23 Momo IMG_5377
IMG_3583

Aktualisiert am 02.01.2025

IMG_20241124_144913_094
Burg Hohen Neuffen
BuiltWithNOF

Anuka Ylviedatter Lunde von Amon Sul "Anuka" + Anarchos Nahkhiirmees “Sakari”

Der Decktermin bei Anuka wurde durch einen Progesterontest zur Bestimmung des optimalen Deckzeitpunktes vorbereitet. Marie reiste mit Ihrer Schwester und der kleinen Anuka am 21.9.2011 am späten Abend an. Das Schlafgemach war unser Wohnmobil, das wir so lange in den Garten geparkt hatten. Am 22.9.2011 war es dann soweit: Nachdem die Hunde zusammengeführt wurden, fand der Deckakt nach relativ kurzer Zeit statt. Manche Hundebesitzer, die dies zum ersten Mal sehen, sind schockiert. Doch diese ungewöhnliche / bemerkenswerte Verhaltensweise (das Hängen) ist ganz normal.

In 3 Wochen wissen wir etwas mehr, ob es eventuell nur ein anbändeln oder poussieren war.

Jetzt sind bereits 1 1/2 Wochen vergangen und wir sind geduldig am Warten ob Sakari vielleicht Papa werden wird.  

Am kommenden Montag wird Anuka beim Tierarzt vorgestellt, dann erfahren wir ob der Deckakt positiv war. Anuka wir drücken dir ganz fest die Daumen.

Anuka uns Sakari sind positiv gestimmt.

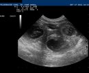
Heute am 26. Tag danach waren Anuka und Frauchen beim Tierarzt zur Kontrolle. Das muss ein wunderschönes Gefühl sein, wenn man gleich beim Abtasten seiner Hündin erfährt dass sie tragend ist. Im Moment sieht man auf dem Ultraschall 4 Bällchen. Es können sich mehr aber auch weniger weiter entwickeln. Wir werden wieder geduldig abwarten. Herzlichen Glückwunsch nach Österreich.

  Jetzt sind es nur noch ca. 5 - 7 Tage zur Geburt der Welpen

Endlich heute am 17.11.2011 wurden drei gesunde Welpen geboren, zwei Rüden, eine Hündin.

Sakari und Anuka
Ultraschallbild von Anuka
Sakari und Anuka
[Home] [Kennel Steigbrönnle] [Über uns] [Unsere Sechs] [Neuheiten] [Langhaardackel] [Norsk Lundehunde] [Norsk Elchhund Sort] [Norrbottenspitz] [Jagdhundetreffen 2016] [Jagdhundetreffen 2017] [Papageientaucher] [Welpenplanung] [Anuka und Sakari] [Ausstellungen] [Agility] [Fährten] [Obedience] [Rettungshunde] [Seminaraufstellung] [Fotoshooting] [Urlaub] [Vernissagen] [Links] [Impressum] [Kontakt] [Vorausgegangene] [Regenbogenbrücke]